Kreidezähne bei Kindern: Das sollten Eltern darüber wissen
- 01:25 Min
- 28.05.2018
- Ab 12
- Clip aus S2018
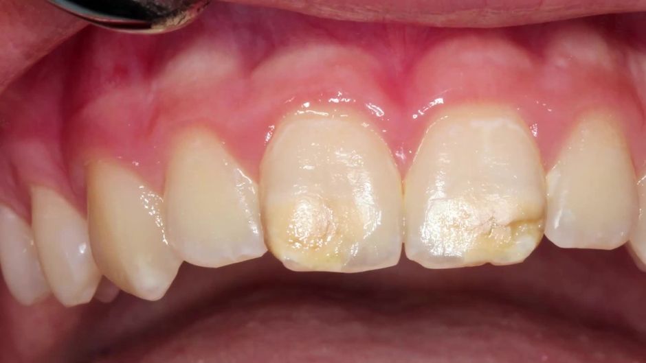
Raue, fleckige und schmerzempfindliche Zähne: All das können Hinweise auf Kreidezähne sein. Die Krankheit ist auch als Molare-Inzisive-Hypomineralisation, oder kurz MIH bekannt. Sie breitet sich immer weiter aus.
